地址:广州市海珠区赤岗红卫路靖晖街6号电话:13250521771 杨生
传真:020-37674468Email:webmail@guoyixiaozhen.com
CopyRight by ©2023www.tcm360.comAll Rights Reserved国医小镇
国医小镇文化旅游(广州)有限公司粤ICP备12079369号
本站信息仅供参考不能作为诊断及医疗的依据
国医小镇
健康养生,百病不愁

7月20日上午9点50分至11时20分,在解放军306医院手术室内,医院院长、我国著名神经外科专家顾建文带领神经外科团队进行了一例后颅窝后正中开颅海绵状血管瘤切除术,面对着开颅手术风险大、精准度要求高的特点,手术团队精心准备、默契协作,成功切除肿瘤,吸除血肿,整个手术在较短时间内完成。
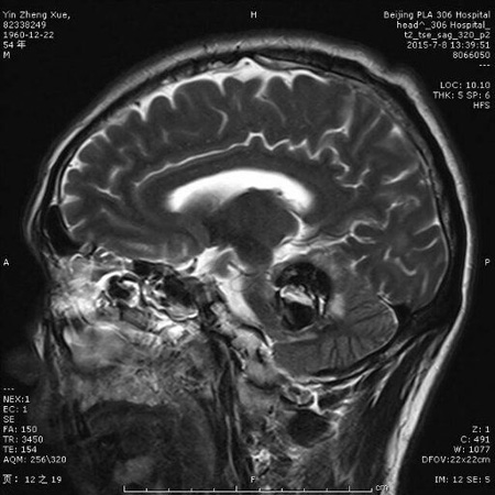
图1 患者脑部影响可见左侧脑血管瘤及淤血区域
不久前,一名54岁男性患者因脑内疼痛并伴有眩晕、恶心等症状,受到病痛长期折磨的他,在连续辗转多家医院未能查实病症的情况下,来到了解放军306医院神经内科。经过详细系统地检查,他被确诊为左侧小脑海绵状血管瘤。从脑内CT等检查结果来看,血管瘤位于小脑左侧,并形成淤血区域。原来,困扰他许久的病症根源就在于此。这个血管瘤经常周期性渗血,造成的淤血区域如同核桃般大小,每次病发时便会压迫小脑神经系统,轻则影响小脑功能,造成眩晕、恶心等症状;重则血管瘤破裂,直接危及生命。
据神经外科主任医师崔绍杰介绍,该患者的血管瘤时常发作,为患者生活带来极大不便,不仅严重影响生活质量,并且有危及生命的隐患,这个瘤子,就如同患者头脑中的一颗“定时炸弹”。如何拆除这颗嵌在柔弱脑组织中的“炸弹”的问题,摆在了神经外科专家团队的面前。经过多次会诊,306医院院长、神经外科专家顾建文决定亲上阵,为患者做手术。
图2 神经外科专家团队手术中
如何最佳的完成患者的治疗,医院初步尝试神经疾病一体化治疗,神经内科收治病人,并完成术前准备,神经外科实施手术,术后进入神经内科NICU监护,精细化术后管理。使患者治疗达到最佳的结果。
从总书记的殷殷嘱托到国务院重磅文件发布,从中药配方颗粒试点结束到 ...[详情]
地址:广州市海珠区赤岗红卫路靖晖街6号电话:13250521771 杨生
传真:020-37674468Email:webmail@guoyixiaozhen.com
CopyRight by ©2023www.tcm360.comAll Rights Reserved国医小镇
国医小镇文化旅游(广州)有限公司粤ICP备12079369号
本站信息仅供参考不能作为诊断及医疗的依据
国医小镇
健康养生,百病不愁